New technology uncovers complexities of colitis-associated colorectal cancer
Digital spatial profiling (DSP) tissue analysis is shedding new light on the molecular changes in colitis-associated colorectal cancer and signalling early biomarkers to identify the potential progression from inflammatory bowel disease (IBD) to cancer.

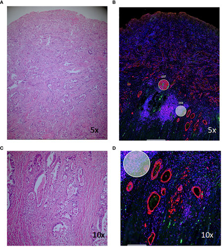
Haematoxylin and eosin (H+E) and morphology-marker stained sections for digital spatial analysis. Staining of a representative section of colitis-associated colorectal cancer (A, C) and corresponding morphology marker-stained sections (B, D). Red, PanCK; green, CD3; magenta, CD45; blue, nuclear stain; circles, regions of interest chosen for subsequent gene-expression analysis. Source: Front. Oncol. 14:1247106. doi: 10.3389/fonc.2024.1247106 © 2024 Glyn, Williams, Whitehead, Eglinton, West and Purcell.
Colitis is a known risk factor for developing colorectal cancer but the molecular mechanisms that trigger some patients to progress while others do not have been elusive.
MWC researchers and clinicians are using digital spatial profiling (DSP), a new technology, to dive more deeply into the tissues of patients who have either IBD or IBD-related cancers to try to uncover the mechanisms involved.
A study, partially supported by funding from MWC3 in 2020/2, compared tissue types of 16 patients with IBD, including ulcerative colitis and Crohn’s disease, who underwent colectomy.
Dr Tamara Glyn, an MWC Clinical Associate and a colorectal surgeon in Christchurch, and Dr Rachel Purcell, MWC Associate Investigator and Senior Research Fellow at the University of Otago (Christchurch), along with oncologists and biostatisticians, examined tissue from these patients.
Working directly with DSP experts at Griffith University in Australia, they used morphology markers to identify areas of interest within normal, inflamed, dysplastic, and cancerous tissue types. Then, employing new DSP technology, they analysed the gene expression of more than 1800 cancer-related genes within these areas of interest.
The trans-Tasman team of researchers and clinicians uncovered significant gene expression differences between tissue types and saw distinct patterns of immune-related genes and collagen markers between people with IBS who progressed to cancers and those who did not.
While immune-related gene expression decreased (CCL18, CCL25 and IL-7R) in cancerous tissues, collagen genes COL1A1, COL3A1 and COL6A3 showed a progressive increase from normal to inflamed, dysplastic, and cancerous tissue and MYC, a proto-oncogene, was overexpressed in neoplastic tissues.
“IBD is more complex than we think,” says Dr Purcell. “Even though patients’ IBD might look the same down the microscope, when we look at a molecular level, we can see different subsets within that.”
Most interesting was the reduction in lysozyme (LYZ) expression in inflamed tissue from patients with dysplasia and cancer compared to patients with IBD alone.
“Cells in these tissues are not able to respond well to bacteria and microbes. This could impact immune responses and disease progression and might have something to do with inflammation. Chronic inflammation is something that leads to cancer.”
“LYZ may be a potential as a biomarker for identifying patients at higher risk for cancer development before abnormal or tumour cells have developed.”
“We are now taking an active look at LYZ as IBD patients enrol,” says Dr Purcell.
The study findings, published in Frontiers in Oncology1 underscores the importance of spatial gene expression and the potential of DSP to identify early molecular markers of progression from IBD to dysplasia and cancer, which could improve clinical decision-making and risk stratification for patients.
1Glyn, T., S. Williams, M. Whitehead, T. Eglinton, N. West and R. V. Purcell (2024). "Digital spatial profiling identifies molecular changes involved in development of colitis-associated colorectal cancer." Frontiers in Oncology 14. 10.3389/fonc.2024.1247106